青光眼是緊隨於白內障之後,世界上第二號致盲的眼睛疾病。
大部分青光眼由於早期並沒有痛楚或明顯視力模糊病徵,它因此又被稱為「視力小偷」,直至視力衰退及視野萎縮出現,視神經所受到的破壞已經不可逆轉。有估計百份之五十之青光眼患者並未有被診斷,因此要預防青光眼就只有作定期檢查,防患於未然。
青光眼是一種多因素性之視神經病變,徵象包括視神經損傷及視野萎縮。
為何您無法察覺早期的視野缺損?
「視力小偷」這個稱號之所以得名,因為源於我們大腦的機制,早期青光眼實在難以察覺。當青光眼開始緩慢地損害周邊的視神經纖維時,我們的視野中會出現一些微小的盲點。然而,大腦非常擅長利用周圍的影像資訊和另一隻眼睛的視覺訊號來「填補」這些缺失的畫面。您不會看到一個黑點,您只會感覺一切正常。而當您主觀上開始注意到自己的「隧道視野」,例如走路時經常撞到旁邊的物件,或被從側面出現的人或車嚇到時,往往已有高達40%甚至更多的視神經遭受了無法挽回的損傷。這正是為何單靠症狀判斷是不可靠的策略,唯有客觀、基於儀器的青光眼檢查,才是唯一可靠的防線。
青光眼是一種多因素性之視神經病變,徵象包括視神經損傷及視野萎縮。

青光眼的風險因素
雖然任何人都可能患上青光眼,但具備以下風險因素的人士,患病機會更高,應更頻繁地進行全面的青光眼檢查。
年紀隨著年齡增長(特別是40歲以上),眼睛的排出系統功能可能會下降,增加患病風險。
家族遺傳若直系親屬(如父母、兄弟姊妹)患有青光眼,您的患病風險會顯著提高。
種族非裔人士患上開角性青光眼的風險較高,而亞洲人則較易患上閉角性青光眼。
眼壓高眼內壓(IOP)是導致視神經受損的最主要風險因素,但並非唯一因素。
近視深近視(600度以上)患者的眼球結構會有所改變,視神經可能更脆弱,更容易受眼壓影響。
糖尿病糖尿病可能影響眼部血管健康,引發新生血管性青光眼。
長期使用類固醇不論是口服、注射或眼藥水形式,長期使用類固醇藥物都可能導致眼壓升高。
眼睛曾受創傷眼睛的創傷可能會在多年後損害房水排出結構,引發繼發性青光眼。
角膜厚度偏薄角膜厚度會影響眼壓讀數的準確性,角膜偏薄者其實際眼壓可能比量度出來的更高。另外有研究指出角膜偏薄者比正常角膜厚度者患上青光眼的風險高
了解不同類型的青光眼
青光眼並非單一疾病,而是由多種病因引起的疾病群。最常見的類型包括:

開角性青光眼 (Open-Angle Glaucoma)
這是最普遍的青光眼類型,佔所有個案約70-90%。它的發展非常緩慢,患者在初期幾乎沒有任何症狀。病因是眼內的排水管道(小樑網)隨時間逐漸堵塞,導致房水排出受阻,眼壓緩慢上升,逐步損害視神經。定期的青光眼檢查是唯一能及早發現此類青光眼的方法。
閉角性青光眼 (Angle-Closure Glaucoma)
在亞洲人中較為常見。此類型可分為急性和慢性。
屬於眼科急症。由於虹膜突然堵塞房角,導致房水完全無法排出,眼壓在短時間內急劇飆升。症狀包括眼睛劇痛、頭痛、噁心、嘔吐、視力突然模糊及看見燈光周圍有光暈。患者需立即求醫,否則可於數天內永久失明。
房角間歇性或部分關閉,眼壓時高時低,症狀不明顯,但視神經仍在持續受損。
正常眼壓性青光眼 (Normal-Tension Glaucoma)
部分患者即使眼壓一直處於正常範圍(21 mmHg以下),其視神經仍然出現典型的青光眼損害。這顯示除了眼壓外,視神經的血液供應不足或結構脆弱也是重要病因。這類個案更突顯了單純量度眼壓並不足夠,必須配合全面的青光眼檢查項目才能作出準確診斷。
繼發性青光眼 (Secondary Glaucoma)
由其他疾病(如虹膜炎、糖尿病)、藥物(如類固醇)或創傷所引致的青光眼。
全面的青光眼檢查項目
要有效診斷和監察青光眼,單一檢查並不足夠。我們提供一系列專業、精密的青光眼檢查項目,以全面評估您的眼睛健康狀況。一個完整的青光眼檢查包括:

- 問症
詳細了解您的個人及家族病史、生活習慣、正在服用的藥物及任何視覺症狀。 - 視覺功能檢查
包括視敏度(視力表)及屈光度數(驗光),評估基本的視力狀況。 - 眼內壓量度 (Tonometry)
使用眼壓計量度眼球內部壓力。這是青光眼檢查的核心部分,但高眼壓不等於青光眼,正常眼壓也不代表沒有青光眼。 - 角膜厚度量度 (Pachymetry)
量度中央角膜厚度。此數據用作校正眼壓讀數,因為角膜偏厚或偏薄會影響測量結果的準確性。這是專業青光眼檢查項目中不可或缺的一環。 - 眼前房及眼前房角檢查 (Gonioscopy)
使用一個特製的房角鏡,仔細檢查房水的排水管道(房角)是開放還是閉塞,以區分開角性與閉角性青光眼。 - 視野檢查 (Visual Field Test)
利用視野分析儀,檢測您中心和周邊的視覺敏感度。青光眼初期通常會導致周邊視野出現缺損,而患者自身不易察覺。此檢查能客觀地記錄視野缺損的位置和範圍,是診斷和追蹤病情變化的重要依據。 - 視神經檢查 (Optic Nerve Head Assessment)
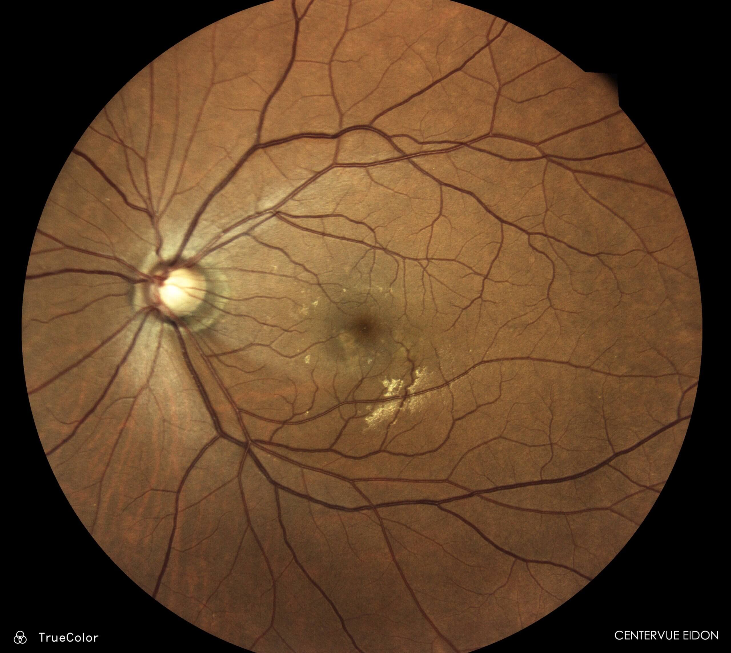
視光師會使用高倍率顯微鏡,仔細觀察視神經頭(視杯與視盤的比例 C/D ratio)、神經纖維層的厚度及是否有出血點等早期青光眼病變的跡象。 - 眼底拍照 (Fundus Photography)
為您的視網膜和視神經頭拍攝高解像度彩色照片,作為日後對比病情變化的客觀記錄。 - 光學相干電腦斷層掃描 (OCT)
這是一項非入侵性的高科技掃描技術,能精確地量度視網膜神經纖維層(RNFL)和神經節細胞(GCC)的厚度,並將其與同齡健康人士的數據庫作比較。OCT能夠在視野缺損出現前提早偵測到結構上的微細損傷,對於早期診斷極具價值。這是現今最先進的青光眼檢查項目之一。 - 分析及處理
綜合以上所有青光眼檢查項目的結果,視光師會為您作出詳細分析,評估您的風險水平,並提供個人化的建議,包括建議覆診時間、轉介眼科醫生作藥物或手術治療,或提供改善生活習慣的建議。
青光眼檢查費用及服務計劃
我們深信「預防勝於治療」,而清晰的收費能讓您更安心地規劃您的眼睛健康管理。我們為大家提供一項全面的青光眼檢查服務計劃,以全方位照顧您的需要。有關檢查費用的詳情,歡迎隨時與我們聯絡。實際的青光眼檢查費用可能因應個別情況及所需之額外測試而調整。

| 服務計劃 | 包含的青光眼檢查項目 | 適合對象 | 參考費用 |
|---|---|---|---|
| 全面青光眼檢查 | 問症及風險評估 視力及屈光檢查 眼內壓量度 角膜厚度量度 眼前房角鏡檢查 視神經頭初步評估 眼底數碼攝影 視野檢查 光學相干電腦斷層掃描(OCT)包括神經纖維層及神經節細胞分析 詳細報告分析建議 長期病情追蹤及管理 |
40歲以上、有家族史、近視較深、已被診斷或高度懷疑患有青光眼、或需要精確追蹤病情變化的患者 | 請向中心查詢 |
**以上青光眼檢查費用只供參考,最終收費以本中心視光師評估後提供的報價為準。部分項目或可使用醫療券。**
青光眼檢查常見問題 (FAQ)
一般建議:
– 40歲以下:若無高風險因素,建議每2至4年進行一次基礎眼睛檢查。
– 40至54歲:建議每1至3年進行一次較全面的青光眼檢查。
– 55歲以上:建議每年進行一次全面的青光眼檢查。
若您有家族史、深近視、糖尿病等高風險因素,則應更早及更頻密地進行檢查,請諮詢您的視光師以獲取個人化建議。
不可以。青光眼造成的視神經損傷是永久性和不可逆轉的。所有治療的目的都是「控制病情」,即透過降低眼壓來減慢或阻止視神經繼續受損,從而保住剩餘的視力。這就是為什麼早期發現和定期進行青光眼檢查如此重要,因為我們無法挽回已失去的視力。
不一定。首先,眼壓在一天內會有波動,單次測量正常不代表一直正常。其次,存在「正常眼壓性青光眼」,即患者眼壓雖在正常範圍,視神經卻持續受損。因此,一個可靠的青光眼檢查絕不能只量度眼壓,必須結合視神經評估、OCT掃描和視野檢查等青光眼檢查項目作綜合判斷。
整個檢查過程是安全且無痛的。量度眼壓可能會讓您感覺到一陣輕微的氣流或儀器輕觸眼球,但不會造成痛楚。進行視野檢查需要您集中精神,可能會感到少許疲勞。一個全面的青光眼檢查連同分析,一般需時約 60 至 120 分鐘,視乎所選的青光眼檢查項目而定。
若我們的視光師經詳細檢查後診斷您患有青光眼,我們會根據病情的嚴重程度和類型,為您提供最合適的處理方案。這可能包括:
– 轉介治療:我們會即時將您轉介給眼科專科醫生,以開始藥物(眼藥水)、激光或手術治療。
– 共同管理:在您接受醫生治療的同時,我們可繼續為您提供定期的病情追蹤服務,例如視野檢查和OCT掃描,與醫生共同監察您的病情變化。
是的,合資格的長者可以使用醫療券支付由註冊視光師(第I部分)提供的眼睛健康檢查服務,當中包括大部分的青光眼檢查項目。關於青光眼檢查費用的醫療券使用詳情,歡迎向我們職員查詢。
雖然青光眼主要影響中老年人,但年輕人甚至嬰兒也可能患上(稱為先天性或青少年青光眼)。特別是深近視的年輕人,他們患上開角性青光眼的風險比同齡人高。因此,即使年輕,若有家族史或深近視等風險因素,也應將青光眼檢查納入常規眼睛檢查的一部分。
OCT(光學相干電腦斷層掃描)被視為青光眼診斷的一大突破。傳統的視野檢查只能在約30-40%的視神經細胞死亡後才能檢測到功能缺損,而OCT能直接量度視神經纖維層的厚度,在結構上出現微細變化的最早階段就發出警號,比視野檢查更早發現問題。這使得早期介入和治療成為可能,大大提高了保存視力的機會。
目前沒有確切的方法可以完全預防青光眼的發生。最好的「預防」策略就是「早期發現,及時治療」。通過定期進行高質素的青光眼檢查,您可以在視力受到嚴重影響前捕捉到疾病的蛛絲馬跡。此外,保持健康的生活方式,如適度運動、均衡飲食、控制血壓和血糖、避免吸煙,對維持視神經的血液循環和整體健康也有幫助。
青光眼檢查費用反映在所包含的青光眼檢查項目的深度和使用的儀器技術上。基礎篩查提供基本的風險評估,而全面的檢查則加入了視野圖和眼底攝影等功能性和結構性的客觀數據。最高階的計劃更動用OCT等尖端科技,以求達到最早期和最精確的診斷。如有青光眼檢查需要可以聯絡我們查詢,我們的視光師會給予您最專業的建議。